Logo
Luyện đọc
Bài học
Sổ tay
Từ điển
Thi JLPT
Video
Nâng cấp
logo
Web bản cũ
Logo
Luyện đọc
Bài học
Sổ tay
Từ điển
Thi JLPT
Video
Nâng cấp
logo
Web bản cũ
Todaii Japanese
language
Logo Japanese
[email protected]
(+84) 865 924 966
315 Truong Chinh, Ha Noi
www.todaiinews.com
DMCA.com Protection Status

Về Todaii Japanese

Câu chuyện thương hiệuCâu hỏi thường gặpHướng dẫn sử dụngQuy định & Chính sáchThông tin hoàn tiền

Hệ thống social

Logo facebookLogo instagram

Phiên bản ứng dụng

AppstoreGoogle play

Ứng dụng khác

Todaii German
Todaii French
Todaii Korean
Todaii English
Todaii Spanish
Todaii Chinese
DMCA.com Protection Status

Bản quyền thuộc về công ty cổ phần công nghệ eUp

Copyright@2025

Loading...
人の歯を作る研究が進んでいます

Chi tiết bài báo

  1. Luyện đọc
  2. Chi tiết bài báo

人ひとの歯はを作つくる研究けんきゅうが進すすんでいます

N3
25/10/20252302
人の歯を作る研究が進んでいます
0:00

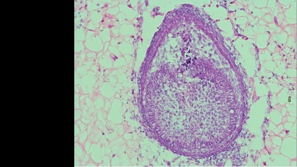
イギリスのキングス・カレッジ・ロンドンのアナ・アンゲロバ・バルポーニ先生せんせいは、20年にじゅうねんくらい前まえから研究室けんきゅうしつで歯はを作つくる実験じっけんをしています。2013年にせんじゅうさんねんには、人ひととマウスの細胞さいぼうを使つかって歯はを作つくることに成功せいこうしました。
今年ことし、バルポーニ先生せんせいのチームは、歯はを育そだてるための新あたらしい材料ざいりょうを使つかって、もっと良よい結果けっかを出だしました。この材料ざいりょうは、口くちの中なかの環境かんきょうに近ちかいので、歯はが育そだちやすくなります。今いままではマウスの細胞さいぼうを使つかっていましたが、これからは人ひとの細胞さいぼうを使つかうことが大切たいせつです。
歯はを作つくるためには、2つの細胞さいぼうが「会話かいわ」をしながら一緒いっしょに働はたらくことが必要ひつようです。研究室けんきゅうしつでは、そのための「足場あしば」という特別とくべつな環境かんきょうを作つくっています。前まえはコラーゲンというたんぱく質しつを使つかっていましたが、今いまはヒドロゲルという水みずをたくさん含ふくむ材料ざいりょうを使つかっています。
研究けんきゅうでは、まずマウスの細胞さいぼうを集あつめて混まぜ、小ちいさなかたまりを作つくります。それをヒドロゲルの中なかに入いれて、8日間ようかかん育そだてます。すると、歯はの形かたちに近ちかいものができます。2013年にせんじゅうさんねんの研究けんきゅうでは、この歯はのもとをマウスに移うつして、歯はが成長せいちょうすることもわかりました。
まだ人ひとの歯はとして使つかうには問題もんだいがありますが、新あたらしい材料ざいりょうのおかげおかげで、細胞さいぼうがもっとよく働はたらくようになりました。将来しょうらいは、歯はを育そだててから人ひとの口くちに入いれる方法ほうほうや、全部ぜんぶ育そだててから移植いしょくする方法ほうほうが考かんがえられています。どちらがいいかは、これからの研究けんきゅうで決きまります。

Nguồn: CNN
Chia sẻ: Logo facebook

Bình luận

N553%
N421%
N318%
N22%
N16%

Từ vựng (45)

イギリス
nước Anhdanh từ
キングス・カレッジ・ロンドン
King's College Londondanh từ
先生せんせいN5
giáo sư, thầy/cô giáodanh từ
研究室けんきゅうしつN4
phòng thí nghiệmdanh từ
歯はN5
răngdanh từ
実験じっけんN3
thí nghiệmdanh từ
人ひとN5
ngườidanh từ
細胞さいぼうN1
tế bàodanh từ
成功せいこうするN3
thành côngđộng từ
年ねんN5
nămdanh từ
チームN3
đội, nhómdanh từ
材料ざいりょうN3
vật liệudanh từ
結果けっかN3
kết quảdanh từ
口くちN5
miệngdanh từ
環境かんきょうN3
môi trườngdanh từ
育そだつN3
phát triển, lớn lênđộng từ
これからN4
từ bây giờphó từ
大切たいせつN5
quan trọngtính từ
会話かいわN4
hội thoại, giao tiếpdanh từ
一緒いっしょに
cùng nhauphó từ
働はたらくN5
làm việcđộng từ
足場あしば
giàn giáo, nền tảngdanh từ
特別とくべつN4
đặc biệttính từ
作つくるN2
tạo ra, làm rađộng từ
たんぱく質N1
proteindanh từ
水みずN5
nướcdanh từ
含ふくむN3
chứa đựngđộng từ
集あつめるN4
thu thậpđộng từ
混まぜるN2
trộnđộng từ
小ちいさなN5
nhỏ bétính từ
かたまりN2
khối, cụcdanh từ
入いれるN5
đặt vào, cho vàođộng từ
形かたちN4
hình dạngdanh từ
近ちかいN5
gầntính từ
移うつすN3
chuyển, di chuyểnđộng từ
成長せいちょうするN3
phát triểnđộng từ
問題もんだいN5
vấn đềdanh từ
おかげで
nhờ vàoliên từ
働はたらきN3
hoạt động, chức năngdanh từ
将来しょうらいN4
tương laidanh từ
方法ほうほうN3
phương phápdanh từ
移植いしょくする
cấy ghépđộng từ
どちらN1
cái nào, bên nàođại từ
これからN4
từ bây giờ, sắp tớiphó từ
決きまるN4
quyết địnhđộng từ

Ngữ pháp (3)

Danh từ + に + は N4
Mẫu "Danh từ + には" dùng để nhấn mạnh về thời điểm, địa điểm, hoặc điều kiện, thường mang nghĩa "vào lúc/ở/đối với".2013年には、人とマウスの細胞を使って歯を作ることに成功しました。
Danh từ + というN4
Dùng để giải thích, định nghĩa hoặc nhấn mạnh tên gọi của một sự vật, sự việc.前はコラーゲンというたんぱく質を使っていましたが、今はヒドロゲルという水をたくさん含む材料を使っています。
Động từ thể て + から N3
Diễn tả hành động xảy ra sau khi một hành động khác đã kết thúc.歯を育ててから人の口に入れる方法や、全部育ててから移植する方法が考えられています。

Câu hỏi

バルポーニ先生せんせいの研究室けんきゅうしつで行おこなわれている実験じっけんは何なにですか?

1/5
A人工心臓を作る実験
B歯を作る実験
C目を作る実験
D骨を作る実験

Bài báo liên quan