Logo
Luyện đọc
Bài học
Sổ tay
Từ điển
Thi JLPT
Video
Nâng cấp
logo
Home
language
Logo Japanese
[email protected]
(+84) 865 924 966
315 Truong Chinh, Ha Noi
www.todaiinews.com
DMCA.com Protection Status

Về Todaii Japanese

Câu chuyện thương hiệuCâu hỏi thường gặpHướng dẫn sử dụngQuy định & Chính sáchThông tin hoàn tiền

Hệ thống social

Logo facebookLogo instagram

Phiên bản ứng dụng

AppstoreGoogle play

Ứng dụng khác

Todaii German
Todaii French
Todaii Korean
Todaii English
Todaii Spanish
Todaii Chinese
DMCA.com Protection Status

Bản quyền thuộc về công ty cổ phần công nghệ eUp

Copyright@2025

Loading...

Chi tiết bài báo

  1. Luyện đọc
  2. Chi tiết bài báo

22歳さいのモデル、豊島とよしま心こころさんがX線せん写真しゃしんをSNSで公開こうかいして話題わだいに

N3
02/02/20264406
22歳のモデル、豊島心さんがX線写真をSNSで公開して話題に
0:00

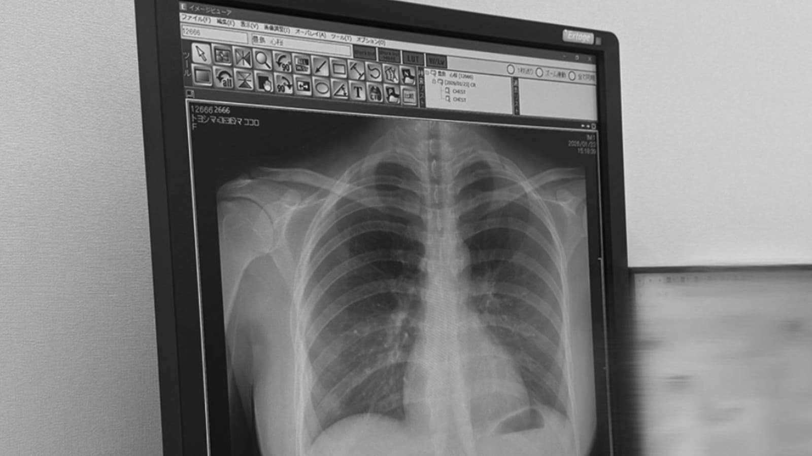
22歳にじゅうにさいの日本人にほんじんモデル、豊島とよしま心こころさんが、自分じぶんの健康診断けんこうしんだんのX線せん写真しゃしんをSNS「X」に投稿とうこうしました。この投稿とうこうはとても人気にんきになり、4300万回よんせんさんびゃくまんかい以上見みられ、5万8000件ごまんはっせんけん以上の「いいね」がつきました。
豊島とよしまさんは「私わたしの肺はいはとてもきれいです」と書かいて、X線せん写真しゃしんを見みせました。写真しゃしんには体からだの形かたちや骨ほねがはっきりと見みえていて、多おおくの人ひとが「すごい」「珍めずらしい」とコメントしました。
しかし、専門家せんもんかの中なかには「背骨せぼねが少すこし曲まがっているように見みえる」と言いう人ひともいて、「姿勢しせいに気きをつけてください」とアドバイスしました。
また、この投稿とうこうでX線せん写真しゃしんが健康けんこうチェックにとても大切たいせつだと、あらためて多おおくの人ひとが考かんがえました。
豊島とよしまさんの投稿とうこうは、健康診断けんこうしんだんや毎日まいにちの姿勢しせいについて考かんがえるきっかけになり、多おおくの人ひとに良よい影響えいきょうを与あたえました。

Nguồn: Tổng hợp
Chia sẻ: Logo facebook

Bình luận

N542%
N418%
N316%
N28%
N116%

Từ vựng (6)

模型もけいN3
người mẫudanh từ
健康診断けんこうしんだんN3
kiểm tra sức khỏedanh từ
骨ほねN3
xươngdanh từ
専門家せんもんかN3
chuyên giadanh từ
背骨せぼねN3
xương sốngdanh từ
影響えいきょうN3
ảnh hưởngdanh từ

Ngữ pháp (3)

Động từ thể từ điển + ように見えるN3
Diễn tả sự phỏng đoán dựa trên quan sát, có nghĩa là “trông có vẻ như...”.「背骨が少し曲がっているように見える」と言う人もいて、
Động từ thể từ điển + きっかけになるN2
Diễn tả điều gì đó trở thành cơ duyên, động lực, nguyên nhân dẫn đến một sự thay đổi hoặc hành động.豊島さんの投稿は、健康診断や毎日の姿勢について考えるきっかけになり、
Động từ thể từ điển + とN4
Diễn tả điều kiện, khi một hành động xảy ra thì một hành động khác kéo theo sau.豊島さんは「私の肺はとてもきれいです」と書いて、X線写真を見せました。

Câu hỏi

豊島とよしま心こころさんがSNS「X」に投稿とうこうしたのは、どのような写真しゃしんですか?

1/5
A旅行の写真
BX線写真
C食事の写真
Dファッションショーの写真

Bài báo liên quan

22歳のモデル、豊島心さんがX線写真をSNSで公開して話題に